- Ocorre no período noturno
- Pode provocar dores de cabeça
- Grande desgaste dental pela abrasão
- Dentes podem ficar sensíveis
- Na mastigação desequilibrada, podem ocorrer traumas com perda óssea e perda dental
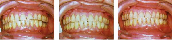
Bruxismo
Desgaste dental, por hiper-função associado a tensão
Em muitos casos causa lesões, como na gengiva e osso
Causa desgaste dental, a superfície dos dentes fica plana
Em muitas vezes ocorre perda óssea.
Causa desgaste dental, a superfície dos dentes fica plana

