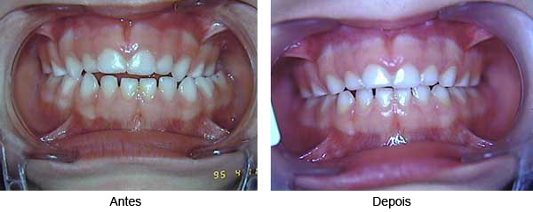
- Inversão da relação de oclusão dos dentes superiores e inferiores
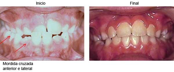
- Quando a mordida cruzada é lateral, a mastigação ocorre do lado que está cruzado
- Assimetria facial no seu crescimento
- Aumenta incidência de dor de cabeça e nas ATMs
- Em crianças, podemos utilizar a técnica de pistas diretas Planas, com a qual, descruzamos uma mordida cruzada sem aparelhos
O paciente mastiga do lado da Mordida Cruzada. Ao executarmos as Pistas Diretas, temos como objetivo centrar a mandíbula e inverter a mastigação.
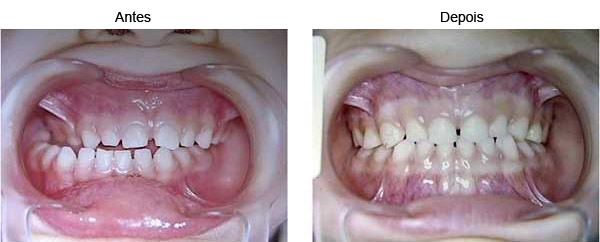
Notar a diferença de simetria no rosto da paciente
em decorrência da mastigação assimétrica
Tratamentos com Pistas Diretas Planas
são tratamentos em crianças com dente de leite sem o uso de aparelhos

Tratamento com o uso de aparelhos Planas
Paciente prognata anterior e posteriorbilateraltratado com aparelhos Planas
Tratamento com aparelhos Planas
Técnica de Pistas Diretas sem uso de aparelhos
Sexo Feminino (4,5 anos)








