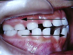
- Observando-se a relação entre dentes, entre os primeiros molares e entre os caninos (Análise Dental)
- Observando a relação óssea maxilo-mandibular (análise morfológica)
Classe I de Angle ou Normo-Oclusão
Cúspide mésio vestibular do primeiro molar sup. Oclue com sulco vestibular do prim. Molar inferior.
Boa relação postural, olhando-se de perfil, maxila e
mandíbula tem perfil reto
A Maxila e a Mandíbula crescem e se desenvolvem por estímulos, o mais importante é a mastigação.
Se a relação dental não estiver correta, será comprometido o crescimento pois a mastigação não se dará corretamente.
Classe II de Angle ou Disto-Oclusão
Pela análise morfológica o queixo se encontra
visivelmente atrás
O perfil é convexo, a mandíbula mais atrás
que a Maxila.
Tratamento
O mais cedo possível, com aparelhos propulsores mandibulares, estimulando a Mandíbula para crescer à frente.
Resultado de caso tratado
Classe III de Angle ou Mésio-Oclusão
Sulco Vestibular (lateral) do Primeiro Molar Inferior oclue a frente da Cúspide Mésio-Vestibular(Anterior) do Primeiro Molar Superior.
Na análise do Perfil, o Indivíduo tem queixo proeminente, o perfil é concavo.
O tratamento deve ser o mais rápido possível, desta forma agindo e alterando vetores de crescimento.
Molar inferior à frente, sem relação com cúspides superiores
O Perfil do Paciente é côncavo, queixo à frente.
Devemos sempre intervir quando identificamos o problema, se retardamos a intervenção, perderemos tempo precioso.
No momento preciso, teremos a força da Natureza, crescimento, ajudando na resolução do tratamento.
“A função faz o órgão que propicia a função”
Claude Bernard
A intervenção deve ser imediata para aproveitar o crescimento e reorganizá-lo.
Devemos segurar o crescimento mandibular e estimular o maxilar
Tipos de Intervenção
Aparelhos Removíveis e Ortopédicos, se possível cedo, quando a criança ainda tem grande potencial de crescimento e podemos reorientá-lo.
A cada momento que passa a resolução do problema é mais difícil.
Sobremordida
( Não permite que a boca cresça )
A Sobremordida impede os movimentos de lateralidade, estímulos primordiais para o crescimento e desenvolvimento Maxilo-Mandibular.
Mordida Aberta
( Ausência de contato dental anterior )
Na Mordida Aberta,a mandíbula não tem o anteparo da Maxila e cresce livremente.
A Maxila e a Mandíbulanão tem estímulo para desenvolver-se.
Geralmente há problema fono-articulatório, a línguaposiciona-se no espaço aberto, retroalimentando o problema.
Mordida Cruzada
( Relação invertida de oclusão )
Este Diagrama demonstra como cresce e se desenvolve uma boca com mastigação unilateral predominante.
A correção da Mordida Cruzada,quando realizada em dentes de leite, é extremamente rápida, importantíssima e sem uso de aparelhos.
Após, só com aparelhos
Após a correção da Mordida Cruzada, o paciente deve ter reorganizada sua Mastigação (que deve ser invertida), passa a ter estímulos para desenvolver e crescer harmoniosamente, reabilitando o sistema.


















