- Prof. Planas enunciou Leis na odontologia
- A principal foi a Lei da Mínima Dimensão Vertical e Ângulo Funcional Mastigatório
- Através de sua análise, podemos saber o lado de preferência mastigatório
AFMP
Muitas das dores de cabeça e Disfunções Têmporo-Mandibulares, tem como uma das causas o desequilíbrio dos Ângulos Funcionais Mastigatórios.
A ação sobre o Ângulo Funcional Mastigatório (AFMP) através de ajustes oclusais, na maioria vezes, é suficientes para o desaparecimento das dores.
Lei do Ângulo Funcional Mastigatório Planas(AFMP)
É medido tendo como ponto de partida os incisivos superiores, na lateralidade mandibular.
Com a mastigação por um longo período, apenas por um lado da boca, ocorrerão alterações no crescimento e desenvolvimento maxilo mandibular e na posição
dos dentes.
Queixa principal: Dor e Disfunção Têmporo Mandibular (Notar as alterações no desenvolvimento)
A ação da mudança dos Ângulos Funcionais tem muita importância no crescimento, reorganizando-o e normalizando a função mastigatória.
Como evidenciamos este ângulo?
Ao fazer o movimento de lateralidade a direita e esquerda, contatando os dentes, aonde houver o menor aumento do terço inferior da face.
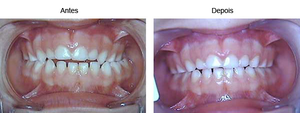
A seguir, paciente adulta que por muitos anos teve mastigação predominante do lado esquerdo
Queixa principal: Dor e Disfunção Têmporo Mandibular (Notar as alterações no desenvolvimento)
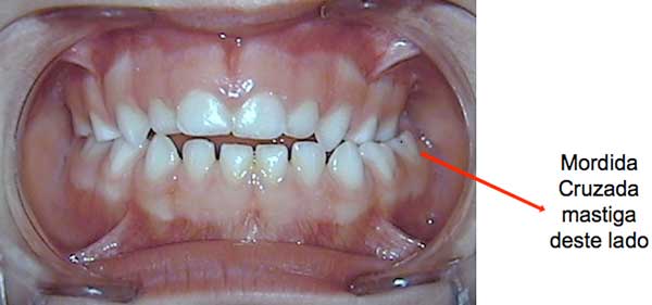
Mordida cruzada
Mastigação se processa apenas deste lado
O paciente mastiga do lado esquerdo, aonde ocorre o menor (AFMP)
Diferença de simetria no rosto da paciente em decorrência da mastigação unilateral do lado direito pela consequência da mordida cruzada
Este diagrama permite se visualizar as alterações que ocorrem na mastigação unilateral predominante
A intervenção cedo é importante para organizar o crescimento














