- É medido tendo como ponto de partida os incisivos superiores, na lateralidade mandibular
- Aonde ocorrer o menor aumento do terço inferior da face, é o lado que o indivíduo mastiga
- Verificando os AFMPs, evidenciamos o lado mastigatório dos pacientes
- Atuando sobre eles, podemos alterar o lado mastigatório
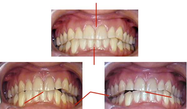
No caso a seguir, verificamos com se faz esta medida
Lado não mastigante Lado mastigante
No Diagrama apresentado abaixo, didaticamente observa-se as modificações estruturais ocorridas em razão da mastigação unilateral
No caso seguinte, observa-se um paciente que após análise do AFMP, mastiga do lado esquerdo. Evidenciam-se então todas as consequências desta mastigação unilateral por ela ter ocorrido por muitos anos em sua vida
Sua correção após a inversão do AFMP, com acerto da linha mediana
pela função mastigatória
Lado mastigante




