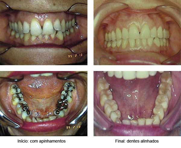
- Por uma resultantes das forças de mastigação, os dentes inferiores ficam “espremidos” (apinhados)
- Por sua vez, acabam empurrando os superiores para frente, também provocando, como consequência, seu apinhamento
- Os caninos muitas vezes ficam lingualizados
- Ocorre dificuldade de higienização
- Por estarem apinhados, ficam susceptíveis ao acumulo de tártaro
Paciente Adulto
Paciente Adulto (38 anos)
Paciente Adulto (50 anos)
Paciente Adulto





