- O queixo fica para trás com perfil côncavo
- Muitas vezes acompanha sobre-mordida(incisivos superiores cobrem os inferiores)
- A mastigação fica comprometida, acentuando a falta de desenvolvimento da mandíbula
- Quando iniciamos o tratamento cedo, podemos estimular o crescimento mandibular, alcançando o equilíbrio ósseo,
maxilo-mandibular
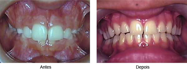
Sexo masculino (9 anos)
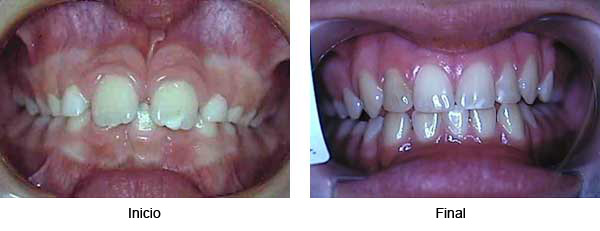
Sexo feminino (8 anos)
Sexo masculino (10 anos)
Sexo masculino (7 anos)




