- O Perfil da face é concavo
- O queixo fica para frente
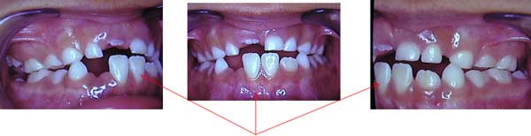
- Os dentes inferiores estão na frente dos superiores
- O paciente, se tratado em fase de crescimento, tem grande chance de redireciona-lo e diminuindo o crescimento do queixo
- Quando adulto, muitas vezes ocorre necessidade de complementação cirurgica
Sexo feminino, início do tratamento aos 5 anos de idade
Dentes inferiores à frente, liberam o crescimento mandibular
Quando se consegue a normalização da relação dos incisivos o caso fica mais favorável
Sexo feminino (08 anos)
Sexo masculino (09 anos)




