Casos Clínicos – Sobremordida

  • Os dentes superiores cobrem os inferiores
  • A mastigação fica muito prejudicada, os movimentos laterais da mandíbula ficam muito difíceis. O crescimento fica prejudicado.
  • Muitas vezes o paciente apresenta queixo para trás- Classe 2 ou disto Oclusão
  • O crescimento e desenvolvimento maxilo-mandibular fica prejudicado
  • Impede os movimentos de lateralidade mandibular, prejudicando o funcionamento das ATMs

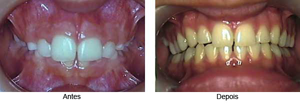
Sexo masculino (4 anos) – Uso de Equiplan

 

im_ofmo5_01

Uso de aparelhos Planas

 

im_ofmo5_02im_ofmo5_03

Sexo masculino (15 anos)

 

im_ofmo5_04

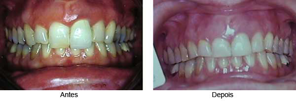
Sexo masculino (28 anos) – Apresentava dor de cabeça

 

im_ofmo5_05

Sexo masculino (10 anos) – Apinhamento e sobremordida
tratado com aparelhos Planas

 

im_ofmo5_06

Sexo masculino (07 anos) – Disto oclusão, Classe II e Sobremordida tratados com aparelhos Planas

 

im_ofmo5_07

Sexo masculino (9 anos) – Sobremordida e apinhamento,
queixo para trás

 

im_ofmo5_08

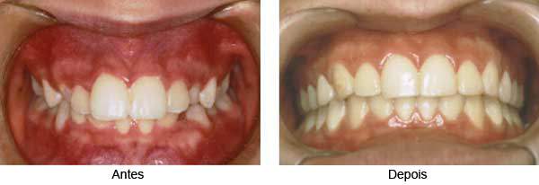
Sexo masculino (9 anos) – Sobremordida acentuada

 

im_ofmo5_09

Sexo feminino (53 anos) – Uso de aparelhos Planas
Paciente apresenta forte dor de Cabeça

 

im_ofmo5_10

Sexo Feminino (44 anos) – Apresentava dor de cabeça.
Adulto com grande apinhamento e sobremordida

 

im_ofmo5_11